Book Online

Smile Gallery

Welcome to the patient photo gallery of Dr. John Kong. Keep in mind that each patient is unique and your results may vary. Photos in our online gallery are of actual patients of our Dental practice.

If you like the results you see in these photos, request a consultation to learn more about how our services can help you achieve your goal. We encourage you to print your favorite photos and bring them with you during your consultation to help communicate your goals and expectations.

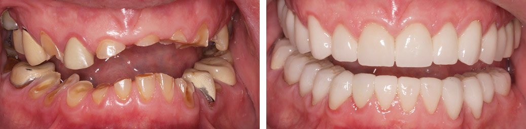
Patient 1

Full-Mouth Reconstruction
Full-Mouth Reconstruction

Patient 2

Porcelain Crowns
Porcelain Crowns

Patient 3

Veneers
Veneers

Patient 4

Bonding
Bonding

Patient 5

Dental Implant Restoration
Dental Implant Restoration

Patient 6

Sinus Lift Bonegrafting
Sinus Lift Bonegrafting

Patient 7

Gum Grafts
Gum Grafts

Patient 8

Gum Grafts
Gum Grafts

Patient 9

Implant Hybrid Fixed Prosthesis
Implant Hybrid Fixed Prosthesis